သလိပ်
သလိပ် (အင်္ဂလိပ်: sputum) ဆိုသည်မှာ ချောင်းဆိုးလိုက်သည့်အခါ လေပြွန်တွင်းမှ ထွက်ရှိလာသည့် ပျစ်ခဲသည့် အကျိအချွဲ ဖြစ်သည်။[1] ဆေးပညာတွင် သလိပ်နမူနာကို မျက်စိဖြင့်ကြည့်ကာ အကြမ်းစစ်ဆေးခြင်း၊ မိုက်ခရိုစကုပ်ဖြင့် စစ်ဆေးခြင်းဖြင့် အသက်ရှုလမ်းကြောင်းဆိုင်ရာ ရောဂါများကို စစ်ဆေးနိုင်သည်။
| သလိပ် | |
|---|---|
![]() | |
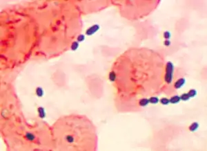
| အဆုတ်ရောင်လူနာထံမှ ရယူထားသည့် သလိပ်ထဲတွင် တွေ့ရှိရသော Enterococcus ဘက်တီးရီးယား | |
| Specialty | Pulmonology |
This article is issued from Wikipedia. The text is licensed under Creative Commons - Attribution - Sharealike. Additional terms may apply for the media files.
