ကင်ဆာရောဂါ
ကင်ဆာရောဂါ /ˈkænsər/(ဆေးပညာ ဝေါဟာရ- ကင်ဆာအကျိတ် malignant neoplasm) သည် ရောဂါအဖွဲ့အစည်းတစ်ခု ဖြစ်သည်။ ၎င်းတွင် ထိန်းချုပ်၍မရသော ကြီးထွားလာမှု၊ ကျူးကျော်ဝင်ရောက်ကာ နီးစပ်ရာ တစ်ရှူးများကို ဖျက်ဆီးသည့် ထိုးဖောက်ဝင်ရောက်မှုနှင့် တစ်ခါတရံတွင် အခြားကိုယ်အင်္ဂါအစိတ်အပိုင်းသို့ ကင်ဆာဆဲ(လ်) ပြန့်ပွားခြင်း၊ သို့မဟုတ် သွေးပြန်ရည်(လင့်ဖ်) သို့မဟုတ် သွေးမှတဆင့် ခန္ဓာကိုယ်ရှိ အခြားနေရာများသို့ ပျံ့နှံ့ခြင်းတို့ကို ဖော်ပြသည့် ဆဲ(လ်)အုပ်စု တစ်ခုပါရှိသည်။ ဤ ကင်ဆာရောဂါ၏ အန္တရာယ်ပေးသော ကင်ဆာဂုဏ်သတ္တိ သုံးမျိုးသည် ထိုးဖောက်ဝင်ရောက်ခြင်း သို့မဟုတ် ကင်ဆာဆဲ(လ်)ပြန့်ပွားခြင်းမရှိသော ကင်ဆာမဟုတ်သည့် အကျိတ်များနှင့် ကွဲပြားခြားနားပါသည်။
| ကင်ဆာရောဂါ | |
|---|---|
| Synonyms | malignant tumor, malignant neoplasm |
![]() | |
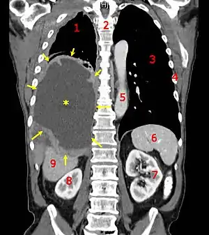
| A coronal CT scan showing a malignant mesothelioma Legend: → tumor ←, ✱ central pleural effusion, 1 & 3 lungs, 2 spine, 4 ribs, 5 aorta, 6 spleen, 7 & 8 kidneys, 9 liver. | |
| အသံထွက် |
|
| Specialty | Oncology |
တနည်းဆိုရသော် ကိုယ်ခန္ဓာ အစိတ်အပိုင်း အမျိုးမျိုးတွင် ဘေးအန္တရာယ် အဆိပ်အတောက် ဖြစ်စေသော ကြီးပွားခြင်း တစ်မျိုးကို ခြုံ၍ခေါ်ဆိုသည်။ ထိုကြီးပွားမှုမှာ ခန္ဓာကိုယ်ကို လောင်ကျွမ်း ပြုန်းတီးစေရန်သာ ဖြစ်၍ ပတ်ဝန်းကျင်ကို စားသွားတတ်သည်။ အရေပြား၊ အကြိတ်နှင့် အတွင်းအင်္ဂါ အပေါ်ယံအမြေးများတွင်၎င်း၊ ကြွက်သား၊ အရိုးနှင့် အသားအမျှင်များတွင်၎င်း ဖြစ်ပွားတတ်သည်။ တစ်နည်းအားဖြင့် ညောင်မြစ်သဖွယ်တွယ်၍ သွေးသားခန္ဓာကို ဖျက်စီးစားသောက်သော မှိုတက်နာ တစ်မျိုးဖြစ်သည်။ အစိတ်အပိုင်းအလိုက် အနာပဆုပ်၊ အနာဖက်ခွက် စသည်ဖြင့် ခေါ်တွင်ကြသည်။ [1]
ရောဂါဖြစ်ပွားရခြင်းအကြောင်းများ
သုတေသီများက ကင်ဆာရောဂါ ဖြစ်ပွားရခြင်း အကြောင်းရင်းများကို အုပ်စု နှစ်မျိုး ခွဲခြားထားသည်- ပတ်ဝန်းကျင် စေ့ဆော်လှုံ့ဆော်ခြင်း ဆိုင်ရာ အကြောင်းရင်းနှင့် မျိုးရိုးလိုက်ခြင်းဆိုင်ရာ ဗီဇ အကြောင်းရင်းတို့ဖြစ်သည်။ မျိုးရိုးဗီဇသည် အချို့ ကင်ဆာများ ဖြစ်ပွားမှု အန္တရာယ်ကို လွှမ်းမိုးသက်ရောက်စေသော်လည်း ကင်ဆာသည် အဓိကအားဖြင့် ပတ်ဝန်းကျင်စေ့ဆော်လှုံ့ဆော်ခြင်းနှင့်ဆိုင်သော ရောဂါ ဖြစ်သည်။ကင်ဆာဖြစ်စေသည့် ပတ်ဝန်းကျင် စေ့ဆော်လှုံ့ဆော်ခြင်းဆိုင်ရာအချက်များတွင်ဆေးရွက်ကြီး၊စားနေကျအစားအစာနှင့်အဝလွန်ခြင်း၊ရောဂါပိုးဝင်ခြင်းများ၊ဓာတ်ရောင်ခြည်သင့်ခြင်း၊ ကိုယ်ကာယလှုပ်ရှားမှု မရှိခြင်းနှင့် ပတ်ဝန်းကျင်ဆိုင်ရာ ညစ်ညမ်းစေသောပစ္စည်းတို့ ပါဝင်သည်။ဤသို့သော ပတ်ဝန်းကျင်ဆိုင်ရာ အချက်များသည် ဆဲ(လ်)များ၏ မျိုးရိုးဗီဇဆိုင်ရာ အရာများတွင် မူမမှန်မှုများကို ဖြစ်စေသည် သို့မဟုတ် တိုးပွားစေသည်။
ဆဲ(လ်) မျိုးပွားခြင်းသည် ကင်ဆာဖြစ်ပွားစေနိုင်သောမျိုးရိုးဗီဇများနှင့် အဖုအကျိတ်ကို နှိမ်နင်းသော မျိုးရိုးဗီဇများ အပါအဝင် မျိုးရိုးဗီဇ အတန်းအစားအမျိုးအမျိုးတို့ဖြင့် ပုံမှန်အားဖြင့် တင်းကျပ်စွာ ထိန်းသိမ်းထားသော အလွန်အမင်း ရှုပ်ထွေးသည့် လုပ်ငန်းစဉ် တစ်ရပ် ဖြစ်သည်။ ဤထိန်းချုပ် မျိုးရိုးဗီဇတွင် မျိုးရိုးလိုက်ခြင်း သို့မဟုတ် နောက်မှရလာသော မူမမှန်မှုများသည် ကင်ဆာရောဂါ ဖြစ်ပွားမှုကို ဦးတည်နိုင်သည်။ ကင်ဆာ၏ ခန့်မှန်းခြေ ငါးရာခိုင်နှုန်းမှ ဆယ်ရာခိုင်နှုန်းသော အချိုးအစားအနည်းငယ်မှာ လုံးလုံးလျားလျား မျိုးရိုးလိုက်ခြင်းကြောင့် ဖြစ်သည်။
ကင်ဆာရောဂါ ဖြစ်ပွားမှုကို ရောဂါလက္ခဏများ၏ အခြေခံ သို့မဟုတ် ဓာတ်မှန်ပညာဖြင့် စစ်ဆေးတွေ့ရှိချက်များကို ကြည့်၍ အရိပ်အမြွက်သိရှိနိုင်ပါသည်။ သို့သော် ပြီးပြည့်စုံသော ကင်ဆာရောဂါ ရှိမရှိကို အကဲဖြတ်ရန်အတွက် နမူနာ အသားစစစ်ဆေးခြင်းကို အဏုကြည့်မှန်ပြောင်းဖြင့် စေ့စပ်သေချာစွာ စစ်ဆေးခြင်း ပြုလုပ်ရန် လိုအပ်သည်။ ကင်ဆာရောဂါ အများစုမှာ ကုသနိုင်သည်။ ဖြစ်နိုင်သော ဆေးကုသခြင်းများတွင် ကင်ဆာဆေးသွင်းပြီး ကုသခြင်း၊ ဓာတ်ရောင်ခြည်ပေးကုသခြင်းနှင့် ခွဲစိတ် ကုသခြင်းတို့ ပါဝင်သည်။ ကင်ဆာရောဂါအမျိုးအစားနှင့် ရောဂါဖြစ်ပွားမှု အတိမ်အနက်ပေါ် မူတည်ပြီး ရောဂါအခြေအနေကြိုတင်ခန့်မှန်းချက် ပေးနိုင်သည်။ ကင်ဆာရောဂါသည် အသက်အရွယ်မရွေး ဖြစ်ပွားနိုင်သော်လည်း အနည်းငယ်သော ကင်ဆာရောဂါ အမျိုးအစားများမှာ ကလေးများတွင် ပိုမိုဖြစ်တတ်ပြီး ကင်ဆာရောဂါ ဖြစ်ပွားမှု ယေဘုယျ အန္တရာယ်မှာ အသက်ကြီးသည်နှင့်အမျှ တိုးလာသည်။ ၂၀၀၇ ခုနှစ်တွင် တကမ္ဘာလုံးအတိုင်းအတာအရ လူသားများ သေဆုံးသည့် အကြောင်းရင်းများထဲမှ ၁၃% (လူသန်းပေါင်း ရ.၉သန်း)မှာ ကင်ဆာရောဂါကြောင့်ဖြစ်သည်။ ဖွံ့ဖြိုးဆဲ နိုင်ငံများတွင် အသက်အရွယ်ကြီးရင့်သည်အထိ နေထိုင်သောသူ ပိုမိုများပြားလာပြီး နေထိုင်မှုပုံစံများ ပြောင်းလဲလာသောကြောင့် ဖြစ်ပွားနှုန်းများမှာ မြင့်တက်လာလျက် ရှိပါသည်။
အမျိုးအစား
အကျိတ်နှင့်တူသော ဆဲ(လ်) အမျိုးအစားအရ ကင်ဆာရောဂါများကို အမျိုးအစား ခွဲခြားထားသည်။ ထို့ကြောင့် အကျိတ်ဖြစ်ရခြင်းအကြောင်းရင်းဟု မှတ်ယူနိုင်သည်။ ဤအမျိုးအစားများတွင် အောက်ပါတို့ ပါဝင်သည်-
- ကာစီနိုမာ- အပေါ်ယံလွှာ (အပီသီလီရယ်)ဆဲ(လ်)များမှ အရင်းခံသော ကင်ဆာ။ ဤအုပ်စုတွင် ရင်သား၊ ဆီးကြိတ်၊ အဆုတ်နှင့် အူမကြီး ကင်ဆာရောဂါများအပါအဝင် အဖြစ်များသော ကင်ဆာ အများစု ပါဝင်သည်။
- ဆာကိုမာ- တွယ်ဆက်တစ်ရှူး သို့မဟုတ် မက်ဆန်ခိုင်မဲလ် ဆဲ(လ်)များမှ အရင်းခံသော ကင်ဆာရောဂါ။
- တက်စေ့ကင်ဆာ နှင့် သွေးကင်ဆာ- ရိုးတွင်းချဉ်ဆီများကို ထုတ်လုပ်သော (သွေး-တည်ဆောက်မှု) ဆဲ(လ်)များမှ အရင်းခံသော ကင်ဆာရောဂါ။
- မျိုးပွားအင်္ဂါဆဲ(လ်)မှ ဖြစ်သော အကျိတ်- ပလူရီပိုတန့် ဆဲ(လ်)များမှ အရင်းခံသော ကင်ဆာရောဂါ။ ၎င်းတို့ကို အရွယ်ရောက်ပြီး သူများ၌ ဝှေးစေ့ သို့မဟုတ် သားဥအိမ် များတွင် အများအားဖြင့် တွေ့ရှိရလေ့ရှိသော်လည်း မွေးကင်းစကလေးများနှင့် ကလေးငယ်များတွင် ပိုမို အဖြစ်များသည်။
- ဘလက်(စ်)တိုမာ- မဖွံ့ဖြိုးသေးသော “ရှေ့ပြေး” သို့မဟုတ် သန္ဓေအစဖြစ်သော တစ်ရှူးမှ အရင်းခံသော ကင်ဆာ။ ဤကင်ဆာများသည် ကလေးများတွင် အဖြစ်အများဆုံးလည်း ဖြစ်သည်။
ရောဂါလက္ခဏာများ
ကင်ဆာရောဂါလက္ခဏာများကို အောက်ပါအတိုင်း အုပ်စုသုံးခု ခွဲခြားနိုင်သည်-
- မူလ ရောဂါလက္ခဏာများ - မှာ အဓိကကင်ဆာ ဖြစ်ပွားရာနေရာများအဖြစ် သတ်မှတ်ထားသည်။ ၎င်းတို့တွင် အဖုများ သို့မဟုတ် ရောင်ခြင်း(အကျိတ်)၊ သွေးထွက်ခြင်း(အရေပြား၊ ပါးစပ် သို့မဟုတ် စအိုမှ သွေးထွက်ခြင်း)၊ အနာဖြစ်ခြင်းနှင့် နာကျင်ခြင်းတို့ ပါဝင်နိုင်သည်။ ကင်ဆာရောဂါကျွမ်းနေသူများတွင် နာကျင်မှုများ ခံစားရသော်လည်း ကနဦးရောင်ရမ်းခြင်းများသည် မကြာခဏ နာကျင်မှုမရှိပေ။
- ပြန့်ပွားမှု ရောဂါလက္ခဏာများ- မှာ ခန္ဓာကိုယ်ရှိ အခြားနေရာများသို့ ကင်ဆာရောဂါ ပြန့်ပွားမှုကြောင့် ဖြစ်သည်။ ၎င်းလက္ခဏာများတွင် တက်စေ့(လင့်ဖ်နုတ်)များ(အရေပြားအောက်တွင် တခါတရံ ခံစားရနိုင်သည် သို့မဟုတ် မြင်ရနိုင်သည်) ကြီးလာခြင်း၊ ဝမ်းဗိုက်တွင် ခံစားသိရှိနိုင်သော ဟီပက်တိုမီဂါလီ(အသည်းကြီးခြင်း) သို့မဟုတ် စပလန်နိုမီဂါလီ (သရက်ရွက်ကြီးခြင်း)၊ ကင်ဆာဖြစ်ပွားနေသော အရိုးများ နာကျင်ခြင်း သို့မဟုတ် ကျိုးပဲ့ခြင်း၊ နှင့် ဦးနှောက်ပိုင်းဆိုင်ရာ ရောဂါလက္ခဏာများဖြစ်သည်။
- အထွေထွေ ရောဂါလက္ခဏာများ- သည် တိုက်ရိုက် သို့မဟုတ် ပြန့်ပွားမှုနှင့် ဆက်နွယ်ခြင်း မရှိသော ကင်ဆာ၏ အဝေးမှ သက်ရောက်ထိခိုက်ခြင်းကြောင့် ဖြစ်ပွားသည်။ ဤထိခိုက်မှုအချို့တွင် ကိုယ်အလေးချိန်ကျခြင်း (အစားအသောက်ပျက်ခြင်းနှင့် အာဟာရဖြည့်သော်လည်း ကိုယ်အလေးချိန်ကျခြင်း)၊ နုံးချိခြင်း၊ ချွေးထွက်လွန်ခြင်း(အထူးသဖြင့် ညဘက်တွင် ချွေးထွက်ခြင်း)၊ သွေးအားနည်းခြင်း (သွေနီဥအရေအတွက် နည်းပါးခြင်း)နှင့် ကင်ဆာရောဂါ အကျိုးဆက် ဖြစ်စဉ်များ ဟုခေါ်ဆိုသည့် အခြား ထူးခြားသည့် အခြေအနေများ ပါဝင်သည်။ ဤလက္ခဏာမျာသည် ကင်ဆာဆဲ(လ်)များမှ လာသော ရောဂါ ခုခံရေးဆိုင်ရာ သို့မဟုတ် ဟော်မုန်းဆိုင်ရာ အချက်ပြချက်များမှ ဆက်နွယ်ဖြစ်ပေါ်လာခြင်း ဖြစ်နိုင်သည်။
ဤရောဂါလက္ခဏာ အတော်များများသည် ကင်ဆာရောဂါ မရှိသော လူနာများတွင် အများအားဖြင့် ဖြစ်ပွားလေ့ ရှိသောကြောင့် ဤရောဂါလက္ခဏများမှ တစ်ခုမျှ အကဲဖြတ်၍မရပါ။
ရောဂါ စစ်ဆေးသတ်မှတ်ခြင်း
ကင်ဆာရောဂါအများစုကို ဖြစ်ပေါ်လာသော ရောဂါလက္ခဏာများ သို့မဟုတ် ပြတ်သားစွာ စစ်ဆေးခြင်းတို့အားဖြင့် ရှေးဦးစွာ သတိပြုမိတတ်သည်။ ဤအချက်များထဲမှ တစ်ခုမျှသည် ပြီးပြည့်စုံသော ရောဂါသတ်မှတ်ခြင်းကို မဖြစ်စေပါ။ ပြီးပြည့်စုံသော ရောဂါစစ်ဆေးသတ်မှတ်ခြင်းသည် ကင်ဆာနှင့် အခြားရောဂါများကို အကဲဖြတ်ရာတွင် အထူးကျွမ်းကျင်သော ရောဂါဗေဒပညာရှင်၏ ယူဆချက် အမြဲလိုအပ်သည်။ ကင်ဆာရှိနိုင်သည်ဟု သံယယရှိသော လူများကို ဆေးပညာဆိုင်ရာ စစ်ဆေးခြင်းများ ပြုလုပ်ခြင်းဖြင့် စုံစမ်းဖော်ထုတ်သည်။ ၎င်းတို့တွင် အများအားဖြင့် သွေးစစ်ခြင်းများ၊ ဓာတ်မှန်များ၊ ဆေးဓာတ်မှန် (CT စကဲ(န်)) စစ်ဆေးခြင်းများနှင့် အစာအိမ်လမ်းကြောင်းကြည့်မှန်ပြောင်းဖြင့်စစ်ဆေးခြင်းတို့ ပါဝင်သည်။
ရောဂါဗေဒ
အကြောင်းရင်း အမျိုးမျိုးကြောင့် ကင်ဆာရောဂါရှိနိုင်သည်ဟု သံသယဖြစ်နိုင်သော်လည်း အသက်အန္တရာယ်ရှိစေသောကင်ဆာရောဂါအများစုအတွက် ပြီးပြည့်စုံသော ရောဂါသတ်မှတ်ခြင်းကို ရောဂါဗေဒပညာရှင်တစ်ဦးက ကင်ဆာဆဲ(လ်)များကို အဏုကြည့်မှန်ပြောင်းဖြင့် လေ့လာစစ်ဆေးခြင်း ပြုလုပ်ခြင်းအားဖြင့် အတည်ပြုရမည်။ အသားစစစ်ဆေးခြင်း သို့မဟုတ် ခွဲစိတ်ကုသခြင်း တစ်ခုမှ တစ်ရှူးကို ရရှိနိုင်သည်။ ခန္ဓာကိုယ်အစိတ်အပိုင်း အတော်များများ (အရေပြား၊ ရင်သား သို့ဟုတ် အသည်းကဲ့သို့) မှ အသားစစစ်ဆေးခြင်းကို ဆရာဝန်၏ ရုံးခန်းတွင် ပြုလုပ်နိုင်သည်။ အခြားအစိတ်အပိုင်းများမှ အသားစစစ်ဆေးခြင်းကို ခွဲစိတ်ခန်းထဲတွင် မေ့ဆေးပေးပြီး ခွဲစိတ်ကုသမှု ပြုလုပ်ခြင်းအားဖြင့် ဆောင်ရွက်သည်။
ရောဂါဗေဒပညာရှင်က ပြုလုပ်သော တစ်ရှူးမှ ရောဂါစစ်ဆေးသတ်မှတ်ခြင်းတွင် တိုးပွားလာသော ဆဲ(လ်)အမျိုအစား၊ ၎င်း၏ ရောဂါဖြစ်ပွားမှု အဆင့်၊ မျိူးရိုးဗီဇဆိုင်ရာ ပုံမမှန်မှုများနှင့် အကျိတ်၏ အခြား သွင်ပြင်လက္ခဏာများကို ဖော်ပြထားသည်။ ဤအချက်အလက်များသည် လူနာအတွက် ရောဂါကြိုတင်ခန့်မှန်းချက်ကို အကဲဖြတ်ခြင်းနှင့် အကောင်းဆုံး ကုသမှုကို ရွေးချယ်ရန်လည်း အသုံးဝင်သည်။ ဆိုက်တိုဂျဲန်နတစ် နှင့် အင်မျူနိုဟစ္စတိုခမ်မစ်ထရီ တို့သည် ရောဂါဗေဒပညာရှင်က တစ်ရှူးနမူနာကို စစ်ဆေးနိုင်သော အခြားနည်းလမ်းများဖြစ်သည်။ ဤစစ်ဆေးခြင်းများသည် ကင်ဆာဆဲ(လ်)များတွင် ဖြစ်ပွားခဲ့သော မော်လီကျူးအပြောင်းအလဲများ (မျိုးဗီဇများ ပြောင်းလဲမှု၊ မျိုးရိုးဗီဇများ ပူးပေါင်းမှု၊ နှင့် ခရိုမိုဆုန်း အရေအတွက် အပြောင်းအလဲများ စသည်)အကြောင်း အချက်အလက်များကို ပံ့ပိုးပေးနိုင်သည်။ ထို့ကြောင့် နောင်ဖြစ်နိုင်လာနိုင်သော ကင်ဆာရောဂါ(ရောဂါကြိုတင်ခန့်မှန်းချက်) ပြုမူပုံနှင့် အကောင်းဆုံး ကုသမှုကို ညွှန်ပြနိုင်သည်။
စစ်ဆေးခြင်း
ရောဂါစစ်ဆေးခြင်းတွင်ပြုလုပ်သော ရောဂါလက္ခဏာများနှင့် ဆေးပညာဆိုင်ရာ သင်္ကေတများအားဖြင့် အကဲဖြတ်ရန် အားထုတ်မှုများနှင့် မတူကွဲပြားစွာ၊ ကင်ဆာရောဂါ စစ်ဆေးခြင်းတွင် မည်သည့် သတိထားမိဖွယ်ရာ ရောဂါလက္ခဏာများ မပေါ်ပေါက်မီအချိန်ကပင် ကင်ဆာရောဂါဖြစ်ပွားမှုကို ရှာဖွေတွေ့ရှိရန် အားထုတ်မှုများ ပါဝင်သည်။စစ်ဆေးခြင်းတွင် ခန္ဓာကိုယ် စမ်းသပ်စစ်ဆေးခြင်း၊ သွေး သို့မဟုတ် ဆီး စစ်ဆေးခြင်းများနှင့် ဆေးပညာဆိုင်ရာ ပုံရိပ်ဖမ်းခြင်းတို့ ပါဝင်နိုင်သည်။
ကင်ဆာရောဂါ စစ်ဆေးခြင်းသည် အချို့သော ကင်ဆာရောဂါအမျိုးအစားများအတွက် လက်ရှိတွင် မဖြစ်နိုင်ပါ။ စစ်ဆေးမှုများ ရှိလျှင်လည်း ဤစစ်ဆေးမှုများပြုလုပ်ရန် လူတိုင်းကို ထောက်ခံချက် မပေးပါ။ လူအများနှင့်ဆိုင်သော စစ်ဆေးခြင်း သို့မဟုတ် လူအစုအဝေး စစ်ဆေးခြင်း သည် လူတိုင်းကို စစ်ဆေးခြင်းဖြစ်သည်။ရွေးချယ် စစ်ဆေးခြင်းမှာ မိသားစုထဲတွင် ကင်ဆာဖြစ်ပွားမှု ရာဇဝင်ရှိသော သူများကဲ့သို့ ကင်ဆာရောဂါဖြစ်နိုင်ခြေ များသောသူများကို စစ်ဆေးခြင်း ဖြစ်သည်။
အကြံပေးချက်များ
အမေရိကန် တားဆီးကာကွယ်ရေး ဝန်ဆောင်မှုများ အထူးအဖွဲ့(USPSTF) သည် လိင်မှုအဆက်အဆံရှိပြီး သားအိမ်ဝရှိသော အမျိုးသမီးများကို အသက် ၆၅နှစ် တိုင်အောင် သားအိမ်ဝကင်ဆာ စစ်ဆေးခြင်း ပြုလုပ်ပါရန် တိုက်တွန်း အကြံပေးထားသည်။၎င်းတို့က အမေရိကန်တို့ကို အသက် ၅၀ မှစ၍ ၇၅နှစ်အထိ မစင်ထဲရှိ မမြင်လွယ်သော သွေး ကို စစ်ဆေးခြင်း၊ ဆစ်မွိုင်ဒိုစကုပ်ဟုခေါ်သောမှန်ပြောင်း သို့မဟုတ်ကိုလိုနိုစကုပ်ပီဟုခေါ်သော မှန်ပြောင်းတို့ဖြင့်အူမကြီးကင်ဆာဖြစ်ပွားမှုရှိမရှိကို စစ်ဆေးရန်အကြံပြုသည်။အသက် ၇၅နှစ်အောက်အမျိုးသားများတွင်အရေပြားကင်ဆာ၊ခံတွင်းကင်ဆာ၊ အဆုတ်ကင်ဆာ၊သို့မဟုတ် ဆီးကြိတ်ကင်ဆာတို့ကို စစ်ဆေးခြင်းအတွက် တိုက်တွန်းရန် သို့မဟုတ် ဆန့်ကျင်ရန် လုံလောက်သော အထောက်အထား မရှိပေ။အသက် ၇၅နှစ်အထက် အမျိုးသားများတွင် ဆီးအိမ်ကင်ဆာ၊ ဝှေးစေ့ ကင်ဆာ၊သားဥအိမ် ကင်ဆာ၊သရက်ရွက်ကင်ဆာ၊သို့မဟုတ် ဆီးကြိတ်ကင်ဆာတို့ကို အချိန်မှန် စစ်ဆေးခြင်း ပြုလုပ်ရန် ထောက်ခံချက်မပေးပါ။
USPTF သည် အသက် ၅၀မှ ၇၄ အတွင်းရှိသူများကို နှစ်နှစ်လျှင် တစ်ကြိမ် ရင်သားကင်ဆာအတွက် မန်မိုဂရပ်ဖီ ခေါ် ရင်သားကို ဓာတ်မှန်ရိုက်ခြင်း ဖြင့် စစ်ဆေးရန် ထောက်ခံထားသည်။ သို့သော် ၎င်းတို့သည် ရင်သားကို မိမိဘာသာစစ်ဆေးခြင်းကိုလည်းကောင်း၊ ရင်သားစမ်းသပ်စစ်ဆေးခြင်းကိုလည်းကောင်း အကြံမပေးပါ။ 2009 Cochrane ပြန်လည်သုံးသပ်ခြင်း က ရင်သားကင်ဆာ စစ်ဆေးခြင်းနှင့် ပတ်သက်၍ မန်မိုဂရပ်ဖီဖြင့် အချိန်မှန် စစ်ဆေးခြင်းသည် အကောင်းထက် အန္တရယ်ဖြစ်စေနိုင်ကြောင်း အနည်းငယ်ကွဲပြားစွာ ကောက်ချက်ချထားသည်။ ဂျပန်နိုင်ငံတွင် အစာအိမ်ကင်ဆာ ရောဂါ ဖြစ်ပွားမှုနှုန်း များခြင်းကြောင့် ၎င်းတို့က ဖိုတိုဖလူအိုရိုဂရပ်ဖီကို အသုံးပြုခြင်းဖြင့် အစာအိမ်ကင်ဆာရောဂါကိုစစ်ဆေးသည်။
မျိုးရိုးဗီဇဆိုင်ရာ စစ်ဆေးခြင်း
အချို့သော ကင်ဆာရောဂါများ ဖြစ်ပွားရန် အလားအလာများသော လူများအတွက် မျိုးရိုးဗီဇဆိုင်ရာ စစ်ဆေးခြင်းကို ပြုလုပ်ရန် ထောက်ခံချက်ပေးထားသည်။ဤမျိုးရိုးဗီဇပြောင်းလဲခြင်းကို သယ်ဆောင်သူများသည် ၎င်းတို့၏ နောက်ဆက်တွဲ အန္တရယ်ကို လျှော့ချရန်အတွက် ပိုမိုကောင်းမွန်သော စောင့်ကြည့်ခြင်း၊ ကင်ဆာဆေးဖြင့်တားဆီးကာကွယ်ခြင်း၊ သို့မဟုတ် တားဆီးကာကွယ်သော ခွဲစိတ်ကုသခြင်းတို့ လုပ်ဆောင်နိုင်သည်။
ရောဂါကြိုတင်ခန့်မှန်းချက်
ကင်ဆာသည် သေစေလောက်သောရောဂါတစ်ခုအဖြစ် နာမည်ရသည်။ အားလုံးခြုံငုံကြည့်ပါက ကင်ဆာအတွက် ကုသမှုခံယူသော လူနာတစ်ဝက်ခန့်မှာ ပတ်ဝန်းကျင်ရှိ တစ်ရှူးများသို့ ပျံ့နှံ့နေသောကင်ဆာ (ပတ်ဝန်းကျင်ရှိ တစ်ရှူးများသို့ ကျူးကျော်ပျံ့နှံ့ခြင်း မရှိသော ကနဦးအဆင့် ကာစီနိုမာ နှင့် မှဲ့ကင်ဆာမဟုတ်သော အရေပြားကင်ဆာများ မပါဝင်ပါ)ကြောင့် သို့မဟုတ် ၎င်းအားကုသမှုကြောင့် အသက်ဆုံးရှုံးရသည်။ သို့ရာတွင် အသက်ရှင်သည့်နှုန်းမှာ ကင်ဆာအမျိုးအစားကိုလိုက်၍ အခြေခံအားဖြင့် လူနာအားလုံးအသက်ရှင်သည် မှသည် လူနာတစ်ဦးတစ်ယောက်မျှ အသက်ရှင်ခြင်းမရှိသည့် အခြေအနေအထိ အမျိုးမျိုးရှိကာ သိသာစွာကွဲပြားပါသည်။
ကြာရှည်စွာရောဂါ သက်သာခြင်း သို့မဟုတ် အမြဲတမ်း ကုသခြင်း တို့ကိုခံယူရသော လူနာများတွင် ရောဂါနှင့် ၎င်းအားကုသမှုတို့မှ ရုပ်ပိုင်းဆိုင်ရာနှင့် စိတ်ခံစားမှုဆိုင်ရာ ရောဂါအသစ်ထပ်တိုးခြင်းများ ဖြစ်ပေါ်နိုင်ပါသည်။ ခွဲစိတ်ကုသမှုသည် ခန္ဓာကိုယ် အစိတ်အပိုင်းများ သို့မဟုတ် ကိုယ်တွင်းပိုင်းအင်္ဂါများအား ဖြတ်တောက်ခြင်း များရှိနိုင်ခြင်း သို့မဟုတ် ကင်ဆာသည် အီကွေလစ်ဘရီယိုဆက်ပ်ရှင်ခေါ် ချိန်ညှိပေးသည့် အာရုံခံစားမှုအပိုင်း အတွက် တာဝန်ရှိသည့် နား၏အစိတ်အပိုင်းကဲ့သို့ အနုစိတ်သော ဖွဲ့စည်းတည်ဆောက်ပုံကို ဖျက်ဆီးပစ်လိုက် နိုင်ပါသည်။ အချို့သော အခြေအနေများတွင် ကျယ်ပြန့်သော ရုပ်ပိုင်းဆိုင်ရာပြန်လည်ထူထောင်ခြင်း သို့မဟုတ် အလုပ်အကိုင်နှင့်ဆိုင်သော ရောဂါကုထုံးတို့ လိုအပ်ပါသည်။ သို့မှသာ လူနာသည် လမ်းလျှောက်နိုင်မည် သို့မဟုတ် အခြားသော နေ့စဉ်ဘဝအသက်ရှင်သန်မှုအတွက် လှုပ်ရှားမှုများကို လုပ်ကိုင်နိုင်မည် ဖြစ်ပါသည်။ ခီမိုဘရိန်းသည် အချို့သော ကုသမှုများနှင့် တွဲဖက်ဖြစ်ပေါ်သော အများအားဖြင့် အချိန်တိုသာဖြစ်ပွားသော သိမြင်ခြင်းနှင့်ဆိုင်ရာချို့ယွင်းခြင်းတစ်ခု ဖြစ်ပါသည်။ ကင်ဆာနှင့်သက်ဆိုင်နေသော နုံးချိခြင်းသည် ပုံမှန်အားဖြင့် ကုသမှုပြီးဆုံးပြီးနောက် မကြာမီပင် ပြေလည်သွားတတ်ပါသည်။ သို့သော် တစ်သက်တာလုံးလည်း ဖြစ်နိုင်ပါသည်။ ကင်ဆာနှင့် သက်ဆိုင်သော နာကျင်ခြင်းအတွက် ဆက်လက်ကုသမှုခံယူရန် လိုအပ်နိုင်ပါသည်။ အသက်ငယ်ရွယ်သော လူနာများတွင် ကလေးမရနိုင်ခြင်း ဖြစ်နိုင်ပါသည်။ အချို့လူနာများမှာ ရောဂါစစ်တမ်း သို့မဟုတ် ကုသမှုတို့အပေါ် ၎င်းတို့တွေ့ကြုံခဲ့ရသော အတွေ့အကြုံကြောင့် စိုးရိမ်ကြောင့်ကြခြင်း သို့မဟုတ် စိတ်ပိုင်းဆိုင်ရာ ဒဏ်ရာဒဏ်ချက်များ ရရှိခြင်းတို့ ဖြစ်နိုင်ပါသည်။
ဘေးထွက်ဆိုးကျိုးများ
အသက်ရှင်ကျန်ရစ်သူများမှာ ကင်ဆာပြန်လည်ဖြစ်ပွားမှု မရှိကြောင်း သေချာစေရန်၊ ဆက်လက်ဖြစ်ပွားလျက် ရှိသော ကင်ဆာနှင့်ပတ်သက်နေသည့် အခြေအနေများကို ထိန်းချုပ်ရန်နှင့် ကင်ဆာရောဂါ အသစ်များကို စစ်ဆေးရန်တို့ အတွက် ပုံမှန်ဆေးစစ်ခြင်းများ ခံယူဖို့ အများအားဖြင့် လိုအပ်ပါသည်။ ကင်ဆာမှ ရှင်သန်ကျန်ရစ်သူများတွင် ပထမကင်ဆာကို ကြာရှည်စွာကုသပြီးသည့် အခါတွင်တောင်မှ အခြား အရေးကြီးကင်ဆာ ပေါ်ပေါက်ကြီးထွားလာဖို့ ပုံမှန်ရှိသောအန္တရာယ်၏ နှစ်ဆနီးပါး ရှိပါသည်။ အချို့သော အရေးဆိုသူများက စာဖြင့်ရေးသားထားသည့် စာရွက်စာတမ်းများဖြစ်သည့် အသေးစိတ်ဖော်ပြထားသော ရောဂါစစ်ဆေးချက်၊ ယခင် ကုသမှုများအားလုံးနှင့် ထောက်ခံချက်ပြုထားသော ကင်ဆာစစ်ဆေးခြင်းများအားလုံးနှင့် အခြားသော အနာဂတ် ပြုစုစောင့်ရှောက်မှု လိုအပ်ချက်များ ပါဝင်သော “အသက်ရှင်သန် ကျန်ရစ်သူများအတွက် စောင့်ရှောက်ခြင်း အစီအစဉ်များ”ကို အသက်ရှင်သန် ကျန်ရစ်သူများနှင့် ၎င်းတို့၏ အနာဂတ်တွင် ကျန်းမာရေး ပြုစုစောင့်ရှောက်သူများ လိုအပ်မည့် ကျယ်ပြန့်သော ဆေးကုသမှုဆိုင်ရာ သတင်းအချက်အလက်တို့ကို စုစည်းခြင်းအနေဖြင့် အားပေးမြှင့်တင်ကြပါသည်။
အဆင့်ဆင့်တိုးတက်လျက်ရှိသော၊ ပျံ့နှံ့လျက်ရှိသော သေစေလောက်သည်အထိ ဆိုးရွားသော ရောဂါသည် ကင်ဆာလူနာ၏ ဘဝနေထိုင်မှုအရည်အသွေးကို ထိခိုက်စေပြီး၊ သာမန်အစဉ်အလာ ပုံစံဖြစ်သော ကင်ဆာဆေးသွင်း ကုထုံးအပါအဝင် ကင်ဆာကုသမှုအချို့တွင် ပြင်းထန်သော ဘေးထွက်ဆိုးကျိုးများ ရှိပါသည်။ ကင်ဆာ ပျံ့နှံ့သည့် အဆင့်များတွင် လူနာအများအပြားသည် မိသားစုဝင်များနှင့် မိတ်ဆွေသူငယ်ချင်းများအပေါ် အကျိုးသက်ရောက်မှု ရှိနေသော ကျယ်ပြန့်လှသည့် ပြုစုစောင့်ရှောက်မှု ခံယူဖို့လိုအပ်ပါသည်။ နောက်ပိုင်းတွင် ကုသမှုခံယူသည် ဖြစ်စေ၊ မယူသည်ဖြစ်စေ လျော့ပါးသက်သာစေသော ပြုစုစောင့်ရှောက်မှုသည် လူနာ၏လက်ရှိ ဘဝနေထိုင်မှု အရည်အသွေးကို တိုးတက်ကောင်းမွန်စေရန် ရည်ရွယ်ပါသည်။ နာတာရှည်ဆေးရုံ အစီအစဉ်များသည်လည်း လူနာများအား အထူးသဖြင့် နောက်ဆုံးအဆင့်အခြေအနေ မမာမကျန်းဖြစ်နေသော လူနာတစ်ယောက်က ကင်ဆာရောဂါ ကုသရန်အတွက် ရည်ရွယ်သော နောက်ထပ်ဆေးကုသမှု ခံယူရန် ငြင်းဆန်သောအခါ အလားတူပင် ကူညီပါသည်။ ဝန်ဆောင်မှုပုံစံ နှစ်မျိုးစလုံးသည် အိမ်တွင်ကျန်းမာရေး သူနာပြုစုစောင့်ရှောက်ခြင်းနှင့် ယာယီပြုစုစောင့်ရှောက်ခြင်းတို့ကို ပေးပါသည်။
အချိန်တို သို့မဟုတ် အချိန်ကြာရှည်စွာ အသက်ရှင်သန်မှုအား ခန့်မှန်းခြင်းသည် ခက်ခဲပြီး အကြောင်းရင်း များစွာအပေါ်တွင် မူတည်နေပါသည်။ အရေးအကြီးဆုံး အကြောင်းရင်းများမှာ ကင်ဆာအမျိုးအစား တစ်ခုချင်းအလိုက်နှင့် လူနာ၏အသက်၊ ယေဘုယျ ကျန်းမာရေးအခြေအနေတို့ ဖြစ်ပါသည်။ ရောဂါဝေဒနာနှင့် ယှဉ်တွဲနေသော ကိုယ်စိတ်အနေပျက်ပြား ချောက်ချားခြင်းအများအပြား ရှိနေသော ဆေးပညာအရ ထိခိုက်လွယ်သော လူနာများသည် ကျန်းမာသော လူနာများထက် အသက်ရှင်သန်မှုနှုန်း နည်းပါးပါသည်။ အသက်နှစ်တစ်ရာရှိသောသူ တစ်ယောက်သည် ကုသမှုအောင်မြင်လျှင်တောင်မှ ငါးနှစ် ရှင်သန်နေနိုင်ဖွယ် မရှိပါချေ။ ဘဝနေထိုင်မှု အရည်အသွေးမြင့်မားကြောင်း ပြောဆိုသော လူနာများသည် ပိုမိုကြာရှည်စွာ အသက်ရှင်နေရတတ်ပါသည်။ ကင်ဆာကုသမှုနှင့်/သို့မဟုတ် ရောဂါတိုးတက်လာမှုများမှနေ၍ ၎င်းတို့၏ ဘဝနေထိုင်မှု အရည်အသွေးများကို ကျစေပြီး ၎င်းတို့၏ ဘဝနေထိုင်မှု သက်တမ်းအရေအတွက်ကိုပါ လျော့နည်းစေသည့် အဓိက စိတ်ပျက်အားလျော့မှုဖြစ်စေသော ကစဉ့်ကလျားဖြစ်ခြင်းနှင့် အခြားသော ရောဂါအသစ်ထပ်တိုးခြင်းများသည် ဘဝနေထိုင်မှုအရည်အသွေး နိမ့်ကျသောသူများအပေါ် အကျိုးသက်ရောက်နိုင်ပါသည်။
ထို့အပြင် ရောဂါကြိုတင်ခန့်မှန်းချက် အဆိုးဆုံးကိုရရှိသော လူနာများသည် ၎င်းတို့၏အခြေအနေမှာ သေနိုင်ဖွယ်ရာရှိသည်ဟု အမှန်အတိုင်း လေ့လာမိသောကြောင့် စိတ်ပျက်အားလျော့မှု ခံစားနိုင်ပါသည် သို့မဟုတ် ဘဝနေထိုင်မှုအရည်အသွေး နိမ့်ကျကြောင်းပြောဆိုနိုင်ပါသည်။ ရွှင်လန်းစွာဖြင့်၊ အကောင်းဘက်ကရှုမြင်တတ်သော သဘောထားနှင့် “တိုက်ပွဲအောင်မြင်”ဖို့ စိတ်ဆုံးဖြတ်ထားသော “တိုက်ခိုက်သူ” တစ်ဦးအဖြစ် ပြုမူလုပ်ဆောင်ရန် လူမှုရေးအရ ပြင်းထန်သော ဖိအားများရှိသော်ငြားလည်း၊ ပင်ကိုယ်စရိုက် ထူးခြားချက်များမှာ အသက်ရှင်သန်မှုနှင့် ဆက်စပ်မှုမရှိပါချေ။
ရောဂါဖြစ်ပွားပျံ့နှံ့ခြင်း
၂၀၀၈ ခုနှစ်တွင် ကင်ဆာရောဂါ ခန့်မှန်းခြေ ၁၂.၇ သန်းမျှကို ရောဂါရှာဖွေဖော်ထုတ်ခဲ့ပြီး (မှဲ့ကင်ဆာ မဟုတ်သော အရေပြားကင်ဆာများနှင့် အခြားပြန့်ပွားမှုမရှိသော ကင်ဆာများ မပါဝင်ပါ) ကမ္ဘာတစ်ဝှမ်းလုံးတွင် ကင်ဆာရောဂါဖြင့် လူဦးရေ ၇.၆ သန်း သေဆုံးခဲ့ရပါသည်။အဖြစ်အများဆုံးမှာ - အဆုတ်ကင်ဆာ (သေဆုံးမှုပေါင်း ၁.၃ သန်း)၊ အစာအိမ်ကင်ဆာ (သေဆုံးမှုပေါင်း ၈၀၃,၀၀၀)၊ အူနှင့်ပတ်သက်သော ကင်ဆာ (သေဆုံးမှုပေါင်း ၆၃၉,၀၀၀)၊ အသည်းကင်ဆာ (သေဆုံးမှုပေါင်း ၆၁၀,၀၀၀)နှင့် ရင်သားကင်ဆာ (သေဆုံးမှုပေါင်း ၅၁၉,၀၀၀)တို့ ဖြစ်ပြီး နှစ်စဉ် သေဆုံးမှုအားလုံး၏ ခန့်မှန်းခြေ ၁၃%အတွက် ကင်ဆာများသည် အုပ်စုတစ်ခုအနေဖြစ် ပါဝင်ပါသည်။ဤသည်မှာ ပြန့်ပွားတတ်သော ကင်ဆာကို ဖွ့ံဖြိုးပြီးနိုင်ငံများတွင် သေဆုံးမှု၏အကြောင်းရင်းအဖြစ် ဦးဆောင်စေပြီး၊ ဖွံ့ဖြိုးဆဲနိုင်ငံများတွင် ဒုတိယအကြောင်းရင်း ဖြစ်စေပါသည်။သေဆုံးမှုတစ်ဝက်ကျော်မှာ ဖွံ့ဖြိုးဆဲနိုင်ငံများမှ ဖြစ်ပါသည်။
အဓိကအားဖြင့် အသက်ကြီးရင့်လာသော လူဦးရေနှင့် ဖွံ့ဖြိုးဆဲနိုင်ငံများတွင် နေထိုင်မှုပုံစံ အပြောင်းအလဲများကြောင့် ကမ္ဘာအနှံ့ ကင်ဆာဖြစ်ပွားနှုန်းမှာ တိုးတက်လာလျက်ရှိသည်။ကင်ဆာပေါ်ပေါက်ဖြစ်ပွားမှုအတွက် သိသာထင်ရှားဆုံး အန္တရာယ်အကြောင်းရင်းမှာ အသက်အရွယ်ကြီးရင့်လာခြင်းပင် ဖြစ်ပါသည်။ကင်ဆာရောဂါမှာ အသက်အရွယ်မရွေး တိုက်ခိုက်လာနိုင်သော်လည်း၊ ပြန့်ပွားတတ်သော ကင်ဆာရောဂါရှိကြောင်း ရောဂါဖော်ထုတ်ခံရသည့်သူ အများစုမှာ အသက် ၆၅နှစ်အထက် အရွယ်များဖြစ်ပါသည်။ကင်ဆာသုတေသီ ရောဘတ် အေ ဝိန်းဘတ်ဂ် က “အကယ်၍ ကျွန်ုပ်တို့ အသက်ရှည်ရှည် နေရလျှင်တောင်မှ၊ အနှေးနှင့်အမြန်ဆိုသလို ကင်ဆာရောဂါ ရနိုင်ပါသည်"ဟု ဆိုပါသည်။အသက်ကြီးရင့်လာခြင်းနှင့် ကင်ဆာရောဂါတို့အကြား ဆက်စပ်မှုအချို့သည် အသက်ကြီးရင့်လာသောကြောင့် ဘဝအသက်တာ တစ်လျှောက် DNA တွင် အမှားအယွင်းများ တိုးပွားများပြားလာခြင်းနှင့် အကျိတ်များဖွဲ့စည်းမှုစနစ်တွင် အသက်နှင့် စပ်ဆိုင်သော အပြောင်းအလဲများ ဖြစ်လာခြင်းဖြင့် ရောဂါတားဆီးမှုစနစ် တဖြည်းဖြည်းယိုယွင်းလာခြင်းနှင့် စပ်ဆိုင်သည်ဟု မှတ်ယူရပါသည်။
ကင်ဆာရောဂါဖြစ်ပွားမှုတိုးမြင့်လာခြင်းအခြေအနေ
တဖြည်းဖြည်းချင်း ကြီးထွားလာတတ်သော ကင်ဆာအချို့တို့မှာ အထူးသဖြင့် အဖြစ်များပါသည်။ ဥရောပနှင့် အာရှတို့ရှိ သေဆုံးခြင်းအကြောင်းကို သိရှိရန် အလောင်းကိုခွဲစိတ်စစ်ဆေးခြင်း လေ့လာမှုများက ၃၆% သော လူများသည် ယင်းတို့သေဆုံးသည့်အချိန်တွင် ရောဂါရှာဖွေမှု ပြုထားခြင်းမရှိသည့် အန္တရာယ်မရှိသော လည်ပင်းကြီးကင်ဆာ ခေါ် သိုင်းရွိုက်ကင်ဆာရှိနေကြပြီး၊ အမျိုးသား ၈၀% မှာ အသက် ၈၀ တွင် ပရောစတိတ်ကင်ဆာ ခေါ် ဆီးကြိတ် ကင်ဆာ ဖြစ်ပွားသည်ကို ဖော်ပြခဲ့ပါသည်။ဤကင်ဆာများမှာ တစ်ခါတစ်ရံ အလွန်ပင်သေးငယ်၍ လူပုဂ္ဂိုလ်အား သေစေလောက်ခြင်း မရှိပေ။ ယင်းတို့ကို ရှာဖွေဖော်ထုတ်ခြင်းမှာ ဆေးကုသ ပြုစုမှုအတွက် အသုံးကျခြင်းထက် တသက်တာလုံးတွင် လက္ခဏာနှင့် အန္တရာယ်ပေးခြင်းတို့ မရှိသည့်ရောဂါကို မလိုအပ်ပဲ ရှာဖွေဖော်ထုတ်ခြင်းအဖြစ် ကိုယ်စားပြုနေပေသည်။ ကလေးအရွယ်တွင်ဖြစ်လေ့ရှိသည့် ကင်ဆာသုံးမျိုးမှာ လူကီးမီးယားခေါ် သွေးကင်ဆာ (၃၄%)၊ဦးနှောက်အကျိတ်ကင်ဆာ(၂၃%)နှင့်တက်စေ့ကင်ဆာ(၁၂%)တို့ဖြစ်ပါသည်။အမေရိကန်ပြည်ထောင်စုတွင် ၁၉၇၅ ခုနှင့် ၂၀၀၂ ခုနှစ်အကြားတွင် နှစ်စဉ် ကလေးအရွယ် ကင်ဆာဖြစ်နှုန်းမှာ ၀.၆% တိုးမြင့်လာလျက်ရှိပြီး၊ ဥရောပတိုက်တွင် ၁၉၇၈ ခုနှင့် ၁၉၉၇ ခုနှစ်အကြား နှစ်စဉ် ၁.၁% တိုးမြင့်လာလျက် ရှိပေသည်။
ဆက်လက်ဖတ်ရှုရန်
ကိုးကား
- လှသမိန် ၏ ဗဟုသုတစွယ်စုံ
